
Читайте нас также
Врачи Медицинского центра Университета Мериленда были немало удивлены, когда обнаружили в мозге четырехмесячного ребенка зуб. Он сформировался там вследствие развития редкого типа рака, пишет News Track India. Отклонение заподозрили, когда специалисты поняли: голова ребенка растет слишком быстро.
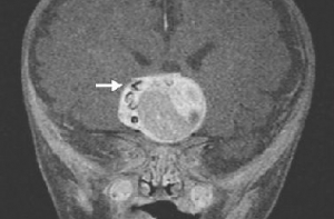
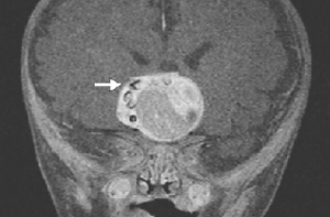
Сканирование мозга выявило наличие опухоли, содержащей структуры, напоминающие зуб из нижней челюсти. Пришлось провести операцию для удаления опухоли. Именно во время оперативного вмешательства врачи подтвердили: в мозге действительно был зуб. Опухоль располагалась рядом с гипофизом.

Медики диагностировали краниофарингиому - редкий тип рака мозга. Такие опухоли могут вырастать до больших размеров, но не распространяются. Что касается зуба, специалисты никогда не находили подобных структур в краниофарингиомах. В данный момент ребенок проходит реабилитацию и чувствует себя хорошо.
Краниофарингиома представляет собой врожденную опухоль головного мозга эпителиального строения. Как правило, сама опухоль доброкачественная. Но она может давить на разные отделы мозга, вызывая серьезные осложнения. Одним из первых признаков наличия опухоли является снижение качестве зрения.
Источник: meddaily.ru















































































